![/userfiles/files/kniga1%281%29.jpg [/userfiles/files/kniga1%281%29.jpg]](/userfiles/files/kniga1%281%29.jpg)
The first subperiosteal implant /SPI/, Dahl, 1943.
![/userfiles/files/kniga2a-en.jpg [/userfiles/files/kniga2a-en.jpg]](/userfiles/files/kniga2a-en.jpg)
Small gaps can be registered. The periosteum cannot stick again to the bone, and it is well know that the bone is nourished by the periosteum. Therefore, in most or the cases, implants of such designs have been considered not acceptable.
![/userfiles/files/kniga3.jpg [/userfiles/files/kniga3.jpg]](/userfiles/files/kniga3.jpg)
In 1952, Lew created for a first time a SPI designed with wide free spaces. It is almost comparable to the present SPI design.
![/userfiles/files/kniga4.jpg [/userfiles/files/kniga4.jpg]](/userfiles/files/kniga4.jpg)
The indisputable favorite is Linkow. In 1967, he defined the concept of "third teeth" and specified the principles of the SPI designing.
![/userfiles/files/kniga5.jpg [/userfiles/files/kniga5.jpg]](/userfiles/files/kniga5.jpg)
Widely extended SPI, maxilla (according to Linkow)
![/userfiles/files/kniga6%281%29.jpg [/userfiles/files/kniga6%281%29.jpg]](/userfiles/files/kniga6%281%29.jpg)
Widely extended SPI, mandible (according to Linkow)
![/userfiles/files/kniga7.jpg [/userfiles/files/kniga7.jpg]](/userfiles/files/kniga7.jpg)
SPI along with the prosthetic construction
![/userfiles/files/kniga8%281%29.jpg [/userfiles/files/kniga8%281%29.jpg]](/userfiles/files/kniga8%281%29.jpg)
The evolution of SPI design – from narrow free spaces to wider free spaces /from left to right/.
![/userfiles/files/kniga9%281%29.jpg [/userfiles/files/kniga9%281%29.jpg]](/userfiles/files/kniga9%281%29.jpg)
Ex-rays of restorative treatment with partial SPIs – the most frequently used SPIs
![/userfiles/files/kniga10%281%29.jpg [/userfiles/files/kniga10%281%29.jpg]](/userfiles/files/kniga10%281%29.jpg)
SPI with hydroxyapatite coating – the so-called ‘dressed’ SPI, which was not put into practice due to a number of reasons.
![/userfiles/files/SPI%20components.jpg [/userfiles/files/SPI%20components.jpg]](/userfiles/files/SPI%20components.jpg)
The classical SPI design. The immersed strip was reported as novelty at the International Conference Y2009.
![/userfiles/files/kniga12.jpg [/userfiles/files/kniga12.jpg]](/userfiles/files/kniga12.jpg)
SPI scheme – my patent. The immersed strip was invented back in1991.
![/userfiles/files/kniga13%281%29.jpg [/userfiles/files/kniga13%281%29.jpg]](/userfiles/files/kniga13%281%29.jpg)
Generally, SPIs require no fixing when the mucosa of the particular jaw is thick, since it can press and attach them to the bone. Later they are covered by dense fibrous tissue, which keeps them firmly fixed. For the rest of the cases, SPIs are to be fixed to the bone by screws. When the case is with immersed strip, SPI can osseointegrate, which is shown on the x-ray, and in those cases they are absolutely fixed and firm.
![/userfiles/files/kniga14.jpg [/userfiles/files/kniga14.jpg]](/userfiles/files/kniga14.jpg)
Classification of dental arch defects by Kennedy. Most frequently, SPIs are applied for I, II and VI class. Basically, there are two methods for fabrication and surgical technique of SPIs placement – one-stage and two-stage method. The second-stage method includes one surgical intervention for taking bone imprint that will be used for casting the model on which SPI is to be designed and worked out, and another surgical intervention for placing the SPI. Following the one-stage method, by using the specialized CAD/CAM technology on the basis of the scanned patient’s jaws, a jaw is casted that that is identical to thousandths of a millimeter with that of the patient, and after having ready the SPI designed on it, it is placed by one single surgical intervention.
Currently, both methods are applicable, as each has its advantages and disadvantages but the one-stage method is preferred by the patients. Here are two-stage method clinical cases from my dental practice.
![/userfiles/files/kniga15.jpg [/userfiles/files/kniga15.jpg]](/userfiles/files/kniga15.jpg)
A picture of an almost entirely toothless maxilla. A 29-year-old patient upon her first visiting of my dental office.
![/userfiles/files/kniga16.jpg [/userfiles/files/kniga16.jpg]](/userfiles/files/kniga16.jpg)
A picture of an entirely toothless mandibula.
![/userfiles/files/kniga17.jpg [/userfiles/files/kniga17.jpg]](/userfiles/files/kniga17.jpg)
Patient’s dental prosthesis used before the restorative treatment.
![/userfiles/files/kniga18.jpg [/userfiles/files/kniga18.jpg]](/userfiles/files/kniga18.jpg)
A diagnostic x-ray.
![/userfiles/files/kniga19.jpg [/userfiles/files/kniga19.jpg]](/userfiles/files/kniga19.jpg)
An imprint of the maxilla.
![/userfiles/files/kniga20.jpg [/userfiles/files/kniga20.jpg]](/userfiles/files/kniga20.jpg)
An imprint of the mandible.
![/userfiles/files/kniga21.jpg [/userfiles/files/kniga21.jpg]](/userfiles/files/kniga21.jpg)
A plaster model with SPI indicated by the dental doctor.
![/userfiles/files/kniga22%282%29.jpg [/userfiles/files/kniga22%282%29.jpg]](/userfiles/files/kniga22%282%29.jpg)
SPI for the right side of the maxilla.
![/userfiles/files/kniga23%281%29.jpg [/userfiles/files/kniga23%281%29.jpg]](/userfiles/files/kniga23%281%29.jpg)
SPI for the left side of the maxilla.
![/userfiles/files/kniga24.jpg [/userfiles/files/kniga24.jpg]](/userfiles/files/kniga24.jpg)
The left and right SPI with their temporary plastic crowns.
![/userfiles/files/kniga25.jpg [/userfiles/files/kniga25.jpg]](/userfiles/files/kniga25.jpg)
Post-implanting control orthopantomography.
![/userfiles/files/kniga26%281%29.jpg [/userfiles/files/kniga26%281%29.jpg]](/userfiles/files/kniga26%281%29.jpg)
Remember the patient before the restorative treatment.
![/userfiles/files/kniga27.jpg [/userfiles/files/kniga27.jpg]](/userfiles/files/kniga27.jpg)
The present look of the the same patient after the restorative treatment in 2005.
Another clinical case using the two-stage method.The patient is a 34-year old woman.
![/userfiles/files/kniga28.jpg [/userfiles/files/kniga28.jpg]](/userfiles/files/kniga28.jpg)
The previous treatment restoration over the period of 1989-1998.
![/userfiles/files/kniga29%281%29.jpg [/userfiles/files/kniga29%281%29.jpg]](/userfiles/files/kniga29%281%29.jpg)
A heavy smoker who lost her own teeth, as well as the intraosseous implants on the left side of the mandible. An x-ray illustrating the treatment.
![/userfiles/files/kniga30.jpg [/userfiles/files/kniga30.jpg]](/userfiles/files/kniga30.jpg)
View of the mandible with a metaloceramic bridge fixed in 1998.
![/userfiles/files/kniga31.jpg [/userfiles/files/kniga31.jpg]](/userfiles/files/kniga31.jpg)
View of the maxilla.
![/userfiles/files/kniga32.jpg [/userfiles/files/kniga32.jpg]](/userfiles/files/kniga32.jpg)
View from the right.
![/userfiles/files/kniga33.jpg [/userfiles/files/kniga33.jpg]](/userfiles/files/kniga33.jpg)
View from the left.
It is noticeable on both pictures that part of the implants is visible in the molar area. If these teeth are not seen when smiling, the implant neck exposure is made on purpose so that the dental plaque to be clearly visible and remind for taking special care in this area.
![/userfiles/files/kniga34.jpg [/userfiles/files/kniga34.jpg]](/userfiles/files/kniga34.jpg)
Otherwise the abutment gets covered with dental plaque.
![/userfiles/files/kniga35%282%29.jpg [/userfiles/files/kniga35%282%29.jpg]](/userfiles/files/kniga35%282%29.jpg)
Or the abutment and the SPI supporting strip get covered with tartar.
Patients with implants should have higher teeth and implants hygiene. This can be achieved by using interdental toothbrushes and AIR Flow equipment. The inter dental brush should be used every day after the routine brushing with conventional toothbrush and toothpaste, and at least once a month – to visit the dental doctor to get the area around the implants cleaned with Air Flow. This dental equipment generates a fine spray of air, water and soda that can reach the most difficult places and gently to clean them.
![/userfiles/files/kniga36.jpg [/userfiles/files/kniga36.jpg]](/userfiles/files/kniga36.jpg)
An abutment cleansed with Air Flow.
![/userfiles/files/kniga37.jpg [/userfiles/files/kniga37.jpg]](/userfiles/files/kniga37.jpg)
A cleansed abutment and SPI supportive strip, however with an already compromised implant.
Clinical cases of one-stage restorative treatment. CAD/CAM technology – the computer-aided design and computer-aided manufacturing. This technology made the method attractive to the patients since there is only one surgical intervention not two as it is in the old method. This led to the so-called “Renaissance” of SPIs that have been pushed aside by the rapid development of the intraosseous implants, and actually to the chance to be given the rightful place in oral implantology – science and practice. By using specialized software and the scanned jaws of the patient, a physical or virtual model of the jaw is created, which is used for the SPI working out.
![/userfiles/files/kniga38.png [/userfiles/files/kniga38.png]](/userfiles/files/kniga38.png)
CAD/CAM model of the mandibula.
![/userfiles/files/kniga39%281%29.png [/userfiles/files/kniga39%281%29.png]](/userfiles/files/kniga39%281%29.png)
Implant design stage.
![/userfiles/files/kniga40.png [/userfiles/files/kniga40.png]](/userfiles/files/kniga40.png)
Virtually designed implant.
It can be cast out by a computer-aided machine. SPI can be sketched by the dental doctor, designed and cast by using the CAD/CAM model, as you can see on the following pictures.
Clinical case taken from my dental practice.
![/userfiles/files/kniga41.jpg [/userfiles/files/kniga41.jpg]](/userfiles/files/kniga41.jpg)
Virtual CAD/CAM plastic model.
![/userfiles/files/kniga42.jpg [/userfiles/files/kniga42.jpg]](/userfiles/files/kniga42.jpg)
Physical CAD/CAM plastic model along with a SPI fixed by screws. View from the outside.
![/userfiles/files/kniga43.jpg [/userfiles/files/kniga43.jpg]](/userfiles/files/kniga43.jpg)
A view from the inside.
Another clinical case from my practice.
![/userfiles/files/kniga44.jpg [/userfiles/files/kniga44.jpg]](/userfiles/files/kniga44.jpg)
Virtual CAD/CAM model of another clinical case.
![/userfiles/files/kniga45.jpg [/userfiles/files/kniga45.jpg]](/userfiles/files/kniga45.jpg)
A physical CAD/CAM plastic model of the mandibula with a planned and sketched total SPI. The arrow indicates the presence of two available interosseous implants, which are suitable to be used to support the dental bridge and are not an obstacle for the new SPI.
View from the right
![/userfiles/files/kniga46.jpg [/userfiles/files/kniga46.jpg]](/userfiles/files/kniga46.jpg)
A view from the left. The places with the marked openings for the fixing screws can be clearly seen on both pictures.
While the required number of screws for the partial SPI is 2, the number for the total mandibular SPI screws is 4, and for the maxilla – 5 or 6.
![/userfiles/files/kniga47.jpg [/userfiles/files/kniga47.jpg]](/userfiles/files/kniga47.jpg)
Casted in dental laboratories, SPIs are made of cobalt-chromium alloy, free of Nickel and Beryllium which are allergenic and carcinogenic. SPIs can be made of a ternary alloy of titanium, cobalt and chromium in a respective ratio. They can be made only of titanium by implementing the method of laser melting (the so-called 3D printing – layering method) or by using a computer controlled milling machine (by removing method), both possible with the CAD/CAM technology.
![/userfiles/files/kniga48.jpg [/userfiles/files/kniga48.jpg]](/userfiles/files/kniga48.jpg)
SPI, fitting with precise accuracy on the physical plastic CAD/CAM model.
![/userfiles/files/kniga49.jpg [/userfiles/files/kniga49.jpg]](/userfiles/files/kniga49.jpg)
A metaloceramic bridge prosthesis.
Another clinical case from my dental practice.
It is about a 54-year old business lady who does not want to wear removable prosthesis.
![/userfiles/files/kniga50.jpg [/userfiles/files/kniga50.jpg]](/userfiles/files/kniga50.jpg)
![/userfiles/files/kniga51.jpg [/userfiles/files/kniga51.jpg]](/userfiles/files/kniga51.jpg)
3D images used for creating CAD/CAM models via the specialized software.
![/userfiles/files/kniga52.jpg [/userfiles/files/kniga52.jpg]](/userfiles/files/kniga52.jpg)
The finalized SPI. Here, only 4 screw places can be noticed due to the slightly reduced design of the implant.
![/userfiles/files/kniga53.jpg [/userfiles/files/kniga53.jpg]](/userfiles/files/kniga53.jpg)
SPI after the surgery.
![/userfiles/files/kniga54.jpg [/userfiles/files/kniga54.jpg]](/userfiles/files/kniga54.jpg)
X-ray after the surgery.
![/userfiles/files/kniga55%281%29.jpg [/userfiles/files/kniga55%281%29.jpg]](/userfiles/files/kniga55%281%29.jpg)
A metaloceramic bridge prosthesis – front view.
![/userfiles/files/kniga56%281%29.jpg [/userfiles/files/kniga56%281%29.jpg]](/userfiles/files/kniga56%281%29.jpg)
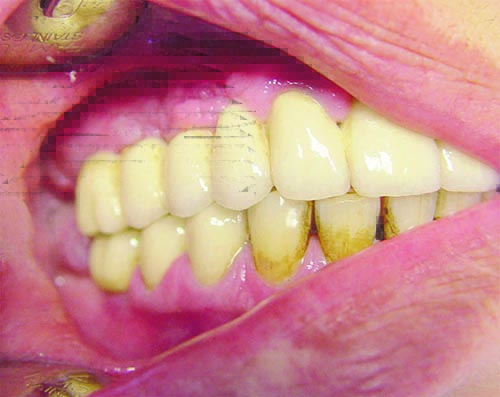
Right view, occlusion mandibulе teeth
Left view. The nicotine deposit on the teeth is clearly visible on both pictures. Those picture have played a good motivational role, so that the patient to quit smoking.
Here is the result from heavy smoking and poor oral hygiene. Another case in my practice.
It was about a 65-year old woman with entirely edentulous mandibular, who had been wearing a total mandibular plate mobile denture but could not get used to it.
![/userfiles/files/kniga59.jpg [/userfiles/files/kniga59.jpg]](/userfiles/files/kniga59.jpg)
![/userfiles/files/kniga60.jpg [/userfiles/files/kniga60.jpg]](/userfiles/files/kniga60.jpg)
3D pictures.
![/userfiles/files/kniga61%281%29.jpg [/userfiles/files/kniga61%281%29.jpg]](/userfiles/files/kniga61%281%29.jpg)
An x-ray with a fixed SPI.
![/userfiles/files/kniga62.jpg [/userfiles/files/kniga62.jpg]](/userfiles/files/kniga62.jpg)
A metaloceramic bridge on SPI - front view
![/userfiles/files/kniga63.jpg [/userfiles/files/kniga63.jpg]](/userfiles/files/kniga63.jpg)
View form the right.
![/userfiles/files/kniga64%281%29.jpg [/userfiles/files/kniga64%281%29.jpg]](/userfiles/files/kniga64%281%29.jpg)
View from the left.
The gallery consists some of the clinical cases described in the book.
Many other clinical cases of my 42 years of practice could be added, but from now on – only the most interesting ones are to be added under section "Oral Implantology."