case reports

The word casuistic derives from the Latin word casus and means “a specific case”. According to dictionary definition a case report is: a detailed report of the symptoms, signs, diagnosis, treatment, and follow-up of an individual patient. Case reports may contain a demographic profile of the patient, but usually describe an unusual or novel occurrence.

Dens invaginatus
Dens invaginatus is also known as “dens in dente” and refers to a very rare and specific case in dental medicine. Many examples could be found on the Internet. A series of x-rays representing cases of “dens in dente” is given below:
 
[/userfiles/files/kaz1.jpg]The first x-ray shows the invaginated tooth standing in the opposite direction to the main one while the second x-ray shows the invaginated tooth rotated at a 90 degree angle to the main tooth.
In our dental practice we came across and interesting “dens in dente” case of which we have only a photo because the patient refused to have an x-ray. Here is the photo we took:

[/userfiles/files/kaz2.jpg]Within the crown of the upper left central incisor the outline of a second, smaller crown following the shape of the first is clearly seen. As the front enamel is partially worn out /due to the patient’s overuse of the toothbrush and the enamel imperfection/ the nerve of the invaginated tooth can be seen.

The patient had no complaints at that time but in case of pain the only possible treatment would have been devitalization of the tooth.

Tartar build up

Dental tartar builds up on dental plaque /biofilm/ which is thin layer of food residue deposited on the surface of teeth after meals. When it is not removed by the conventional method using toothpaste and a toothbrush, or even better – an interdental brush – it gets impregnated with calcium from the saliva, epithelial cells, bacteria, nicotine, etc. thus forming between and over the teeth a conglomerate varying in hardness and color. The tartar composition involves calcium carbonate, calcium oxalate or a combination. Even with the best oral hygiene dental tartar is formed and should be treated twice a year if not more often as required for some patients. Tartar is among the causes of some gingival diseases – gingivitis, periodontitis, etc. and is often the cause of edentulism.  

[/userfiles/files/kaz3.jpg]For comparison, an usual case of tartar is shown above.

[/userfiles/files/kaz4.jpg]Excessive tartar build up causing gingivitis and periodontitis.

[/userfiles/files/kaz5.jpg]Two unique cases of excessive tartar build up.
 
[/userfiles/files/kaz6.jpg]A unique case of very poor oral hygiene – tartar build up, deposits of all kinds, gingivitis and periodontitis. Denticles

Denticles is the name for stones formed in the dental pulp /nerve/ although these are not exactly stones but deposits of dentine – the basic dental substance. Just as the pearl mussel reacts to a grain of sand by forming a pearl, dental pulp reacts to lasting irritation by depositing dentine forming different particles. Sometimes we have individual formations, but there are also cases of multiple deposits or even cases when the entire pulp chamber is involved in the deposit. Denticles are often formed and grow without any symptoms but in some cases there might be a vague feeling of discomfort in the tooth. This is why denticles are usually detected in x-rays performed for different dental complaints and treatment purposes. However, once denticles are detected the tooth should be tested for vitality and if the result is over 20 m devitalization should be performed. Otherwise the denticle growth would cause closed gangrene and successful restoration cannot be guaranteed.
The picture below shows a rather large denticle that I came across in my dental practice.

[/userfiles/files/kaz7.jpg]This large denticle was the cause of pulpitis in a patient. After opening the pulp chamber the denticle was removed with tweezers.

Dentes geminate /twin teeth/
Twin teeth are a very common abnormality. They could be joined together by their crowns or their roots or both.

[/userfiles/files/kaz8.jpg]Twin teeth, 48 and supernumerary tooth joined by both their crowns and roots. The common pulp chamber in the crown area is visible together with one rear root joined to the other front root.

[/userfiles/files/kaz9.jpg]Teeth 11 and 12 are joined together by their crowns.


[/userfiles/files/kaz10%281%29.jpg]Teeth joined together by their roots.

[/userfiles/files/kaz11.jpg]Twin teeth – 11 and 21, joined together in their crowns with supernumerary teeth.

[/userfiles/files/kaz12%281%29.jpg]A complex conglomerate of numerous joined teeth.

[/userfiles/files/kaz13.jpg]Very rare occurrence of twin teeth.
 

[/userfiles/files/kaz14a.jpg]These pictures show a case that I came upon in my practice of a retained upper third molar /wisdom tooth/ joined together with a supernumerary twin tooth by their crowns.
Supernumerary teeth

Usually there is the milk dentition followed by the permanent dentition, i.e. the germs of permanent teeth are formed under the milk/baby teeth. The milk dentition is characterized by lack of second and third molars. It is possible that the germs of one or more permanent teeth are missing. This condition is called hypodontia. However, sometimes there may be more than one germ for a certain tooth which is called dens supernumeralis – supernumerary tooth. There are also cases of many occurrences of supernumerary teeth – dentes supernumeralеs.
 

[/userfiles/files/kaz15.jpg]Many occurrences of supernumerary teeth on the mandibula of one patient and a similar condition in the maxilla of another patient. Abnormalities of the number and shape of tooth roots

The number and the shape of tooth roots may have many varieties some of them looking like very whimsical creations of nature.
 
[/userfiles/files/kaz16.jpg]An interesting collection…


[/userfiles/files/kaz18.jpg]Slightly erotic twist…

[/userfiles/files/kaz19.jpg]Graceful curves…

[/userfiles/files/kaz20.jpg]The corkscrew…

[/userfiles/files/kaz21.jpg]The prima ballerina – third position…

[/userfiles/files/kaz22.jpg]The octopus… And if this was not funny enough, here comes something really unusual…

[/userfiles/files/kaz23.jpg]Anacondas are known for their ability to swallow a whole calf. This man is seriously trying to beat their record…

[/userfiles/files/kaz24.jpg]
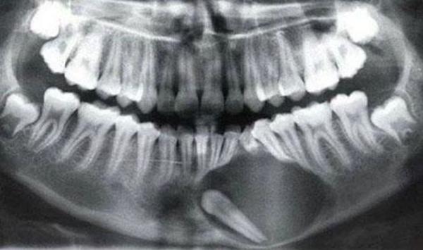
A case from my dental practice – a 90 degree curve of one of the tooth roots. The x-ray was required for the treatment of a retained third molar and revealed this abnormality. The patient had no complaints about this tooth even though the x-ray reveals a completely wrong treatment approach. It would be difficult to perform any endodontic treatment, not to mention the prospects of a tooth extraction if needed in the future. Ectopia dentis /tooth growth at an unusual location/
[/userfiles/files/kaz25.jpg]This canine tooth has grown on the palate which is quite an unusual location.
The above case reports are far from showing all varieties of unusual situations. We will keep adding new interesting cases. For more information contact  pfhristov@yahoo.comHave a look at our gallery of rare clinical cases.
 

Photos

Check our photo gallery

A huge follicular cyst or a cystic adamantinoma!?
A huge follicular cyst or a cystic adamantinoma!?
Dental machine in antiquity
Dental machine in antiquity
As seen in the picture, in 1926
As seen in the picture, in 1926
That's how it seems today
That's how it seems today