Кортико базалните имплантати са вътре костни имплантати при които концепцията е различна от конвенционалните вътре костни имплантати. Докато конвенционалните се поставят в спонгиозата /гъбестото вещество/ на костта и в повечето случаи се изчаква биологичен период за остео интеграция преди протезирането, кортико базалните имплантати се поставят така, че да се „закотвят“ в кортексът /кората/ на костта, което им придава първоначална стабилност и те могат да бъдат протезирани веднага. На практика лечението протича в 3 – 5 дни в зависимост от сложността на случая – през първия ден се поставят имплантатите и се взема отпечатък. Лабораторният период за изработване на моста е 3 -до 5 дни в зависимост от вида конструкция и нейната сложност, както и от натовареността на лабораторията.
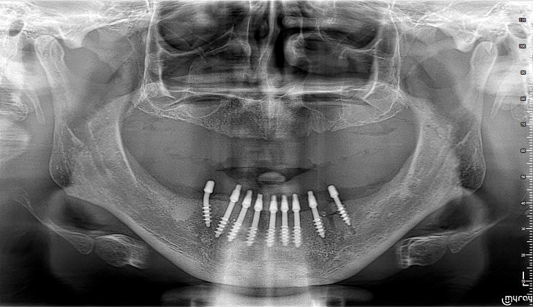
Лечение през 2010 година – мъж на възраст около 30 години с напълно обеззъбена долна челюст. Не желае да носи тотална плакова протеза.
![/userfiles/files/01-cortico-basal-implants.jpg [/userfiles/files/01-cortico-basal-implants.jpg]](/userfiles/files/01-cortico-basal-implants.jpg)
Рентгенова снимка през 2025 година – лека резорбция на костта, нормална за 15 години функционален престой на имплантатите с моста. Пациентът няма оплаквания и се храни нормално.
![/userfiles/files/02-cortico-basal-implants.jpg [/userfiles/files/02-cortico-basal-implants.jpg]](/userfiles/files/02-cortico-basal-implants.jpg)
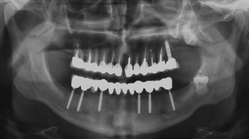
Друг случай на напълно обеззъбена долна челюст при млад човек на видима възраст около 40 години. Имаше износена долна тотална плакова протеза, с която се чувстваше дискомфортно.
![/userfiles/files/03-cortico-basal-implants.jpg [/userfiles/files/03-cortico-basal-implants.jpg]](/userfiles/files/03-cortico-basal-implants.jpg)
Както се вижда от ортопантомографията, поставени са 9 кортико базални имплантата
![/userfiles/files/04-cortico-basal-implants.jpg [/userfiles/files/04-cortico-basal-implants.jpg]](/userfiles/files/04-cortico-basal-implants.jpg)
Отлетият модел с аналозите на имплантатите
![/userfiles/files/05-cortico-basal-implants.jpg [/userfiles/files/05-cortico-basal-implants.jpg]](/userfiles/files/05-cortico-basal-implants.jpg)
Компютърен моделаж на бъдещия мост – поглед фронтално
![/userfiles/files/06-cortico-basal-implants.jpg [/userfiles/files/06-cortico-basal-implants.jpg]](/userfiles/files/06-cortico-basal-implants.jpg)
Компютърен моделаж на бъдещия мост – поглед отгоре
![/userfiles/files/07-cortico-basal-implants.jpg [/userfiles/files/07-cortico-basal-implants.jpg]](/userfiles/files/07-cortico-basal-implants.jpg)
Мостът върху модела – поглед фронтално
![/userfiles/files/08-cortico-basal-implants-1.jpg [/userfiles/files/08-cortico-basal-implants-1.jpg]](/userfiles/files/08-cortico-basal-implants-1.jpg)
Мостът върху модела – поглед отгоре
Пациентът има горна тотална плакова протеза, която лепи с Корега и така се чувства сравнително комфортно. Ето защо започнах лечението от долната челюст. Предстои лечение на горната по същия начин.